Ангина (острый тонзиллит) презентация
Содержание
- 2. Острое инфекционное заболевание, вызываемое различными возбудителями, характеризуется выраженными воспалительными изменениями в
- 3. Предрасполагающие факторы — Предрасполагающие факторы — загрязненность воздуха, перепады атмосферной
- 4. Возбудителями ангины могут быть бактерии Возбудителями ангины могут быть бактерии
- 5. Ангину чаще вызывают бактерии стрептококки (более 90% случаев) или стафилококки (менее
- 6. Источником инфекции может являться больной или носитель. Источником инфекции может
- 7. Основные симптомы ангины - резкая и сильная боль в горле, усиливающаяся
- 11. Клинические формы Катаральная Фолликулярная Лакунарная Флегмонозная Язвенно-некротическая (Симановского-Плаута-Венсана)
- 12. Катаральная ангина Развивается остро, пациент предъявляет жалобы на ощущение в горле
- 13. Катаральная ангина
- 15. Фолликулярная ангина Фолликулярная ангина начинается с повышения температуры тела до 38—39
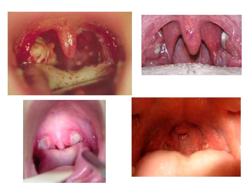
- 19. Лакунарная ангина Лакунарная ангина протекает с симптомами аналогичным фолликулярной, но более
- 21. Двусторонняя лакунарная ангина
- 22. Флегмонозная ангина (интратонзиллярный абсцесс) Флегмонозная ангина встречается относительно редко. Ее развитие
- 24. Язвенно-некротическая (гангренозная) ангина Причиной язвенно-некротической ангины Симановского-Плаута-Венсана считают симбиоз веретенообразной палочки
- 25. Язвенно-некротическая ангина
- 26. Некротическая ангина.
- 27. Герпетическая ангина Герпетическая ангина чаще развивается в детском возрасте. Ее возбудителем
- 28. Герпетическая ангина
- 29. Осложнения Наиболее опасные осложнения ангины: в ранние сроки — абсцессы глотки
- 30. Специфическая диагностика - Бактериологическая: посев слизи из зева и носа
- 31. Лечение В лечении ангины выбор лекарственного средства зависит от типа микроба,
- 34. Лечение тонзиллита народными средствами возьмите сухие веточки зверобоя, заверните небольшой пучок
- 35. Полоскание горла различными антисептическими и очищающими растворами полезно при ангине любого
- 36. Профилактика
- 38. Хронический тонзиллит
- 43. О́стрый тонзилли́т (в повседневной жизни ангина, от лат. ango — «сжимаю,
- 45. Скачать презентацию











































Слайды и текст этой презентации
Похожие презентации