ДЕФОРМИРУЮЩИЙ ОСТЕОАРТРОЗ презентация
Содержание
- 2. ДЕФОРМИРУЮЩИЙ ОСТЕОАРТРОЗ — это дегенеративно-дистрофическое заболевание суставов с первичной дегенерацией
- 4. Основные немодифицируемые факторы риска остеоартроза Возраст старше 45 лет Наследственность
- 5. Основные модифицируемые факторы риска остеоартроза 1. Избыточная масса тела (индекс
- 6. Классификация по МКБ-10 АРТРОЗЫ (M15-M19) M15 Полиартроз Включен: артроз более чем
- 7. Основными и общими признаками для деформирующего остеоартроза любой локализации являются следующие:
- 8. «Стартовые» боли в суставах, появляющиеся при первых шагах больного, затем исчезающие
- 9. Стойкая деформация суставов, обусловленная костными изменениями, т.е. остеофитозом
- 11. Наиболее клинически значимыми (точнее сказать, инвалидизирующими) формами деформирующего остеоартроза являются коксартроз
- 14. Гонартроз Симптомы - Боли механического характера (возникают при ходьбе и проходят
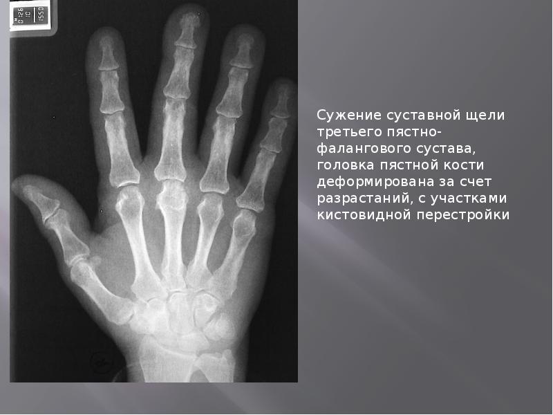
- 16. Деформирующий остеоартроз межфаланговых суставов пальцев кистей Деформирующий остеоартроз дистальных межфаланговых суставов
- 20. 4. Деформирующий остеоартроз плюсно-фалангового сустава большого пальца стопы Обычно двусторонний процесс.
- 21. Рентгенологические стадии (по Келлгрену):
- 22. Методы хирургического лечения протезирование суставов при неэффективности консервативного лечения и высоких
- 23. Скачать презентацию





















Слайды и текст этой презентации
Похожие презентации