Марат Оспанов атындағы Батыс Қазақстан мемлекеттік медицина университеті презентация
Содержание
- 2. Кеуде жарақатының жіктелісі
- 3. Жарақатқа байланысты Ашық жарақат (терінің зақымдалуымен) Тесілген Кесілген Шабылған Жарылған
- 8. Жабық жарақат (терінің зақымдалуынсыз) Кеуделік каркастың зақымдалуымен Кеуделік каркастың зақымдалуынсыз
- 10. Кеуде қуысы жабық түрде зақымдалғанда науқастардың 60 %-ы көптеген қабырғалар сынығы
- 11. Зақымдалу аймағына байланысты Біржақты (оң немесе сол) Екі жақты Көпшілік
- 13. Серозды куысқа байланысты Енген -Плевра куысына - Перикард куысына - Ішастар
- 17. Асқынулары Ерте Пневмоторакс (үдемелі, клапанды) Гемоторакс Жүрек тампонадасы Респираторлы дистесс-синдромы Хилоторакс
- 21. Диагностикасы Клиникалық тексеру Шағымы Анамнез Пальпация Перкуссия Өкпе аускультациясы Жүрек аускультациясы
- 22. Торакоскопия Плевра қуысын пункциялау (Ревилуа-Грегуара сынамасы) Перикардты пункциялау
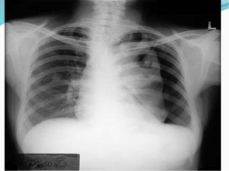
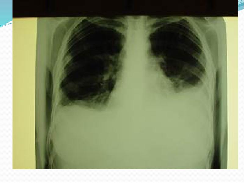
- 23. Инструментальды тексеру әдісі Рентгенологиялық тексеру (рентгенография, рентгеноскопия) Компьютерлік томография УДЗ
- 24. Перикардты пункциялау
- 25. Пайдаланылған әдебиеттер Клиническая хирургия. Национальное руководство том III. В.С. Савельев Москва
- 26. Скачать презентацию
























Слайды и текст этой презентации
Скачать презентацию на тему Марат Оспанов атындағы Батыс Қазақстан мемлекеттік медицина университеті можно ниже:
Похожие презентации