Kieferzysten Dentogene Neoplasien Fibro-ossäre Kieferläsionen Tumorartige презентация
Содержание
- 2. Kieferzysten Definition:Hohlraum mit epithelialer Auskleidung dentogene Zysten:
- 3. Dentogene Zysten nach WHO 2017 Dysontogenetische Zysten: gingivale Zyste der Kinder
- 4. Radikuläre Zyste Ät: Entzündung Lok: OK, Frontalregion Alter: 30-40
- 5. Pathogenese der radikulären Zyste Karies ----> Pulpitis --->
- 12. Residualzyste eine zahnlose Zyste des Kiefers keine ätiologisch
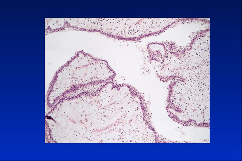
- 13. Follikuläre Zyste Ät: dysontogenetische Zyste Lok: OK- Caninusregion, UK- 3 Molar
- 17. Eruptionszyste Sonderform einer follikulären Zyste umgibt die Zahnkrone eines durchbrechenden Zahnes
- 19. Glanduläre odontogene Zyste oder sialoodontogene Zyste ÄT: dysontogenetische Zyste mit aktivem
- 21. Odontogene Keratozyste Lok: UK Alter: 20 - 30, 50 - 60
- 23. Gorlin-Goltz Syndrom autosomal dominanter Erbgang Symptome: multiple
- 25. Gingivale Zyste des Kindes (Epstein Perlen) Lok: extraossär, im Bereich des
- 26. Gingivale Zyste des Erwachsenen Lok: extraossär UK, Incisivus-Prämolarenregion Ausg: Reste der
- 27. Nasopalatinale Zyste Ät: dysontogenetische Zyste Lok: OK Incisivusregion Alter: 40 -
- 29. Nasolabiale Zyste ÄT: dysontogenetische Zyste Lok: extraossär, Nasolabialfalte Alter: 40-50
- 30. Solitäre Knochenzyste (traumatische, einfache, hämorrhagische) Ät: nicht geklärt Lok: UK Alter:
- 34. Aneurysmatische Knochenzyste Ät: nicht geklärt Lok: UK Alter: 20
- 37. Dentogene Tumoren WHO 2017 Benigne Tumoren Epitheliale Tumoren ohne
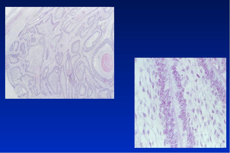
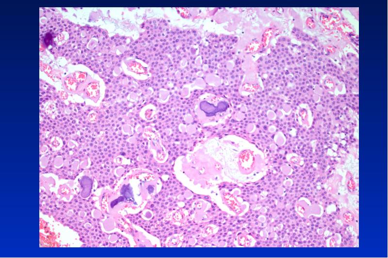
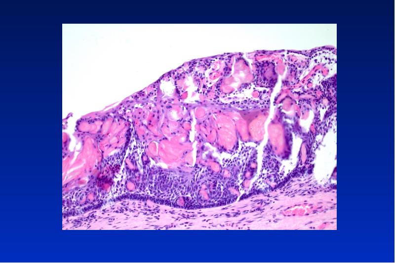
- 38. Ameloblastom solid intraössär/ peripher/unizystisch/ maligen benigner, lokal aggressiv wachsender Tumor
- 45. Unizystisches Ameloblastom 20- 30 Lj unilokuläre Osteolyse 2 histologische
- 49. Squamöser odontogener Tumor benigner Tumor mit manchmal aggressivem Wachstum Zahnleiste, Malassez-
- 50. Kalzifizierender epithelialer odontogener Tumor (Pindborg Tumor) benigner lokal invasiver
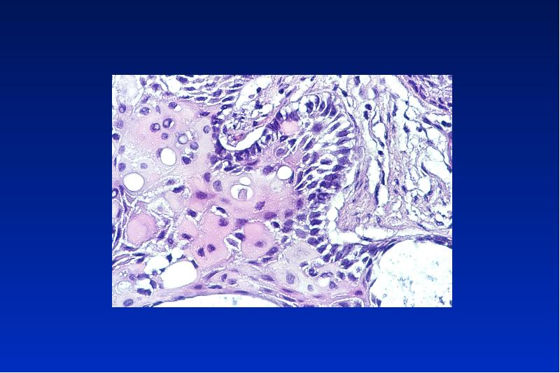
- 52. Adenomatoider odontogener Tumor benigner Tumor ausgehend von odontogenem Epithel 15
- 54. Ameloblastisches Fibrom benigner Tumor mit induktivem Effekt auf das Ectomesenchym selten
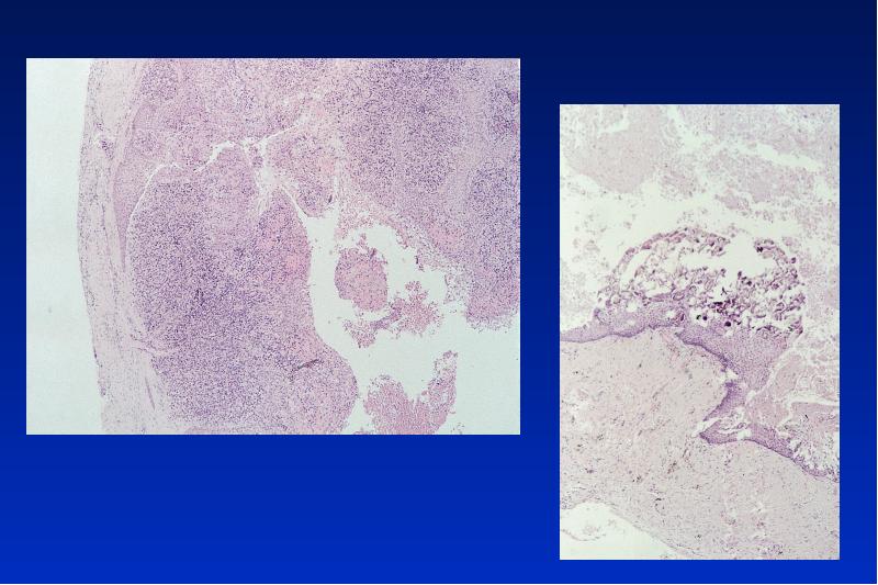
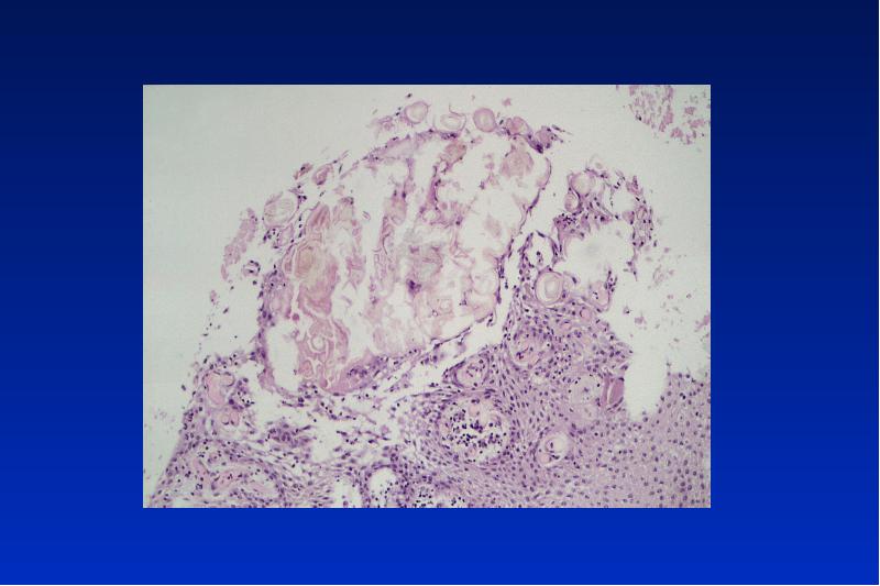
- 56. Odontom complex = gemischt compound
- 59. Kalzifizierende odontogene Zyste Odontogener Ghost cell Tumor zystisch oder solid gebaut
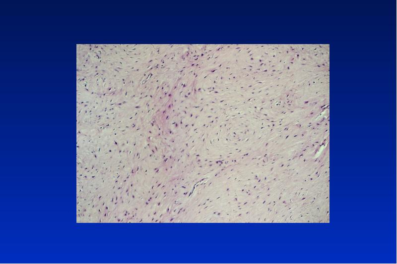
- 61. Odontogenes Fibrom benigner ectomesenchymaler Tumor mit Resten von inaktivem odontogenem Epithel
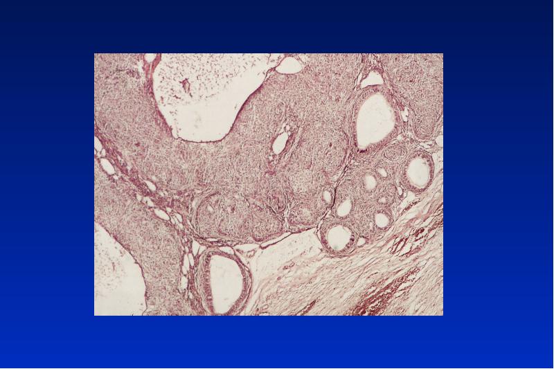
- 63. Myxom lokal invasiv wachsender ectomesenchymaler Tumor ohne Kapsel multilokuläre Osteolyse (Seifenblasen)
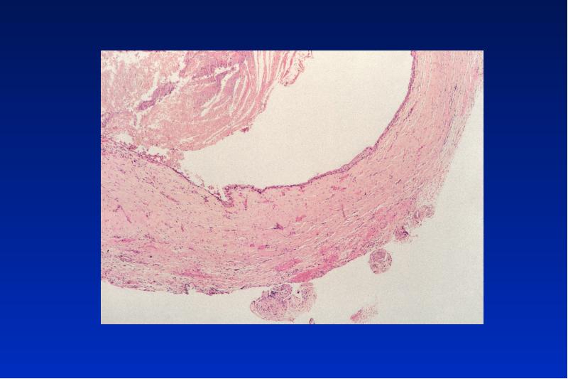
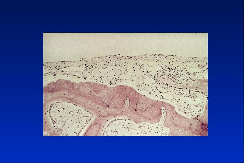
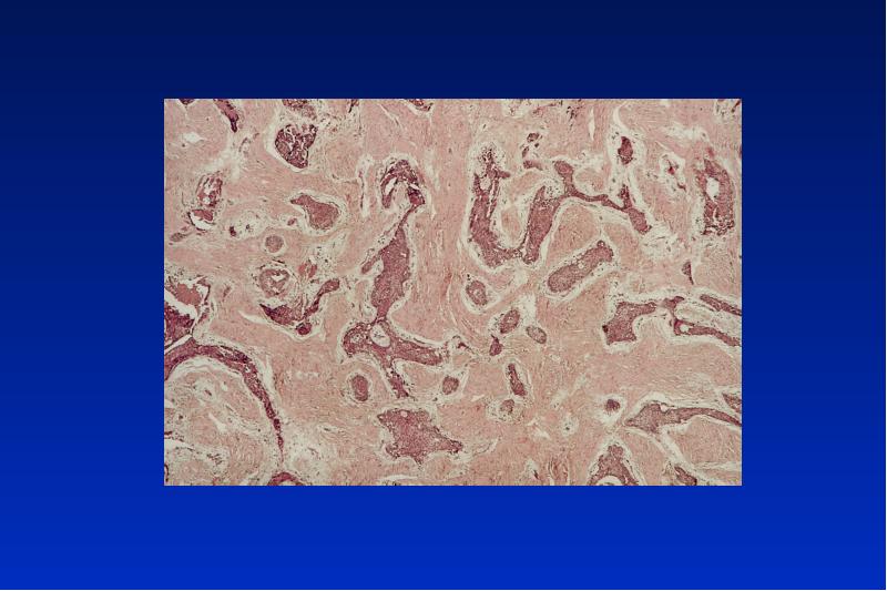
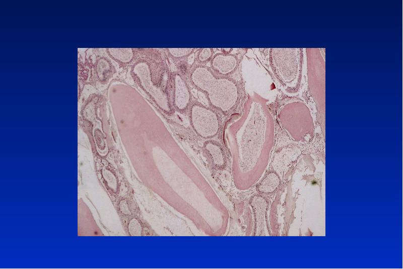
- 66. Zementoblastom benigner ectomesenchymer Tumor 20-30 UK, Molar- und Prämolarregion röntgendichte
- 68. Maligne odontogene Tumoren WHO 2017 Karzinome Ameloblastisches Karzinom Primäres intraossäres Karzinom,
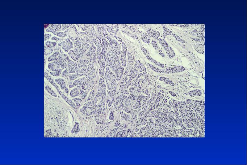
- 69. Odontogenes Klarzellkarzinom maligner Tumor Zahnleiste, Malassez- Epithelnester 20 - 70 unscharf
- 71. Ameloblastisches Karzinom
- 72. Fibro-ossäre Knochenläsionen fibröse Dysplasie periapikale zemento-ossäre Dysplasie fokale zemento-ossäre Dysplasie
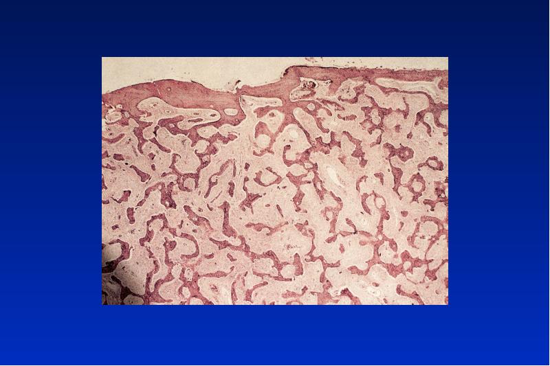
- 73. Fibröse Dysplasie benigne selbst limitierende mono- oder polyostotische Läsion ohne Kapsel
- 77. Periapikale zemento-ossäre Dysplasie benigne nicht neoplastische selbst limitierende Läsion ohne Kapsel
- 79. Floride zemento-ossäre Dysplasie (gigantoformes Zementoblastom) benigne nicht neoplastische Läsion mit
- 80. Ossifizierendes Fibrom zemento-ossifizierendes Fibrom juveniles trabekuläres oss. Fibrom juveniles psammomatoides oss.
- 82. Tumor-artige Kieferläsionen Zentrales Riesenzellgranulom Cherubismus
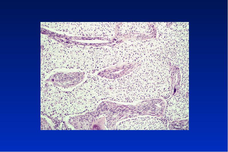
- 83. Zentrales Riesenzellgranulom riesenzellreiche Läsion des Kieferknochens in jedem Lebensalter reaktiv
- 85. Cherubismus autosomal dominant vererbtes Krankheitsbild mit symmetrischer Kieferauftreibung im Kindesalter und
- 86. Скачать презентацию




















































































Слайды и текст этой презентации
Скачать презентацию на тему Kieferzysten Dentogene Neoplasien Fibro-ossäre Kieferläsionen Tumorartige можно ниже:
Похожие презентации