Дәріс тақырыбы Тері аурулары : Есекжем, Аллергиялық контактты дерматит, презентация
Содержание
- 2. Есекжем (Крапивница) Есекжем (urtіcarіa) — қантамыр реакциясы, теріде және шырышты қабатта кенеттен
- 4. Дерманың ісінуі, қантамырларының кеңеюіғ ісінуі, әдетте лимфоциттерден және аздаған мөлшерде эозонофильдерден
- 5. ДЕРМАНЫҢ БЕТКЕЙ ҚАБАТЫНЫҢ ІСІНУІ КЕҢЕЙГЕН ҚАНТАМЫРЛАРДАҒЫ ПЕРИВАСКУЛЯРЛЫ ҚАБЫНҒАН ЖАСУШАЛАР ҚАЛЫПТЫ ЭПИДЕРМИС
- 6. АЛЛЕРГИЯЛЫҚ КОНТАКТТЫ ДЕРМАТИТ – терінің аллергиялық қабынбалы зақымдалуы. АЛЛЕРГИЯЛЫҚ КОНТАКТТЫ
- 7. Гистологиялық көрінісі Тері аллергенмен жанасқаннан кейін 3 сағаттан соң, теріде момнонуклеарлармен
- 9. Атопиялық дерматит — диатез, балалар есекжемі, созылмалы аллергиялық, яғни ауық-ауық қайталанып
- 11. Жіктемесі: Жіктемесі: 1.
- 14. Гистология: эпидермисте акантоз, паракератоз, гиперкератоз, әлсін спонгиоз байқалады. Дермада — капиллярлардың
- 18. Мультиформалы эритема гистологиялық суреті
- 20. Түйінді эритеманың гистипатологиясы. Түйінді эритеманың гистипатологиясы. Гистологиялық өзгерістер терісасты
- 21. Ревматизм кезіндегі түйінді эритема
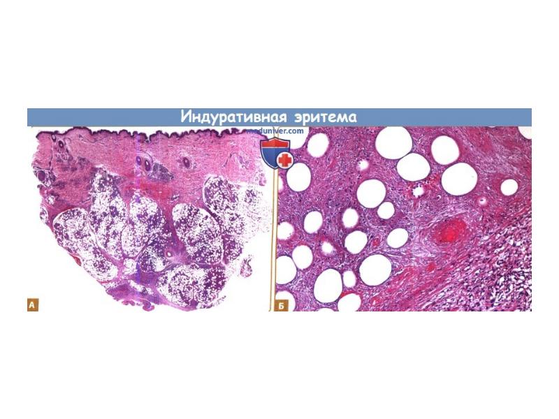
- 22. Индуративті эритема Индуративная эритема Базена – очаговое кожное заболевание, развивающееся на фоне
- 23. Индуративті эритема
- 24. Гистопатология индуративной эритемы Базена: - Преимущественно лобулярный или смешанный лобулярно-септальный панникулит
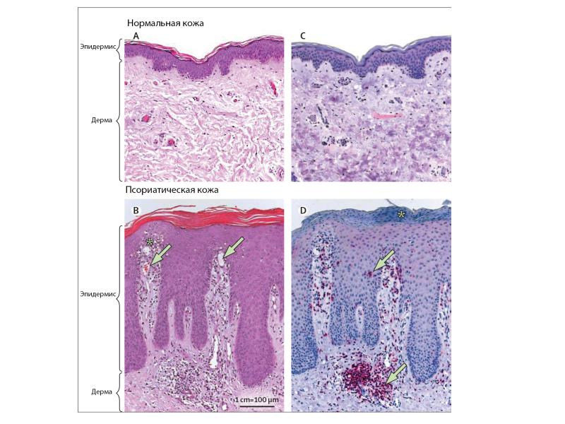
- 26. Псориаз - созылмалы, қайталанып тұратын тері ауруы. Ауру 16 мен 25
- 27. Псориаздың локализациясы
- 28. Псориаз
- 29. Гистопатологиясы. Эпидермисте акантоз байқалады, сондықтан дерманың емізікше қабатына кіріп (екі емізіктің ортасында)
- 32. Қызыл жазық теміреткі (lichen ruber planus) –Бұл
- 34. Қызыл жазық теміреткінің басқа түрлері болады: Қызыл жазық теміреткінің басқа
- 35. Жіктелуі Типтік түрі Гипертрофиялық түрі Атрофиялық түрі Буллезді түрі Эритематозды түрі
- 36. Ағымы бойынша: Жедел түрі (1 айға дейін созылады) Жедел алды түрі
- 37. Қызыл жалпақ теміреткі - Қызыл жалпақ теміреткі -
- 39. Гистологиясы Қызыл жазық теміреткінің гиперкератоз, акантоз, терінің зернизтый қабаты кеңейгені
- 42. Қызыл жегі (lupus erythematodes) Созылмалы аутоиммунды ауру; дәнекер тіннің диффузды аурулары қатарына
- 43. Зақымданулардың клиникалық-морфологиялық синиттамалары терінің: "көбелек" белгісі, кашшіяриттер, экссудатты эритема,пурпура, дискоидтық жегіт.б.:
- 45. Жүйелі қызыл жегіде дамитын патоморфологиялық өзгерістер: жайылма полиорғандық деструкциялық-пролиферациялық васкулит;
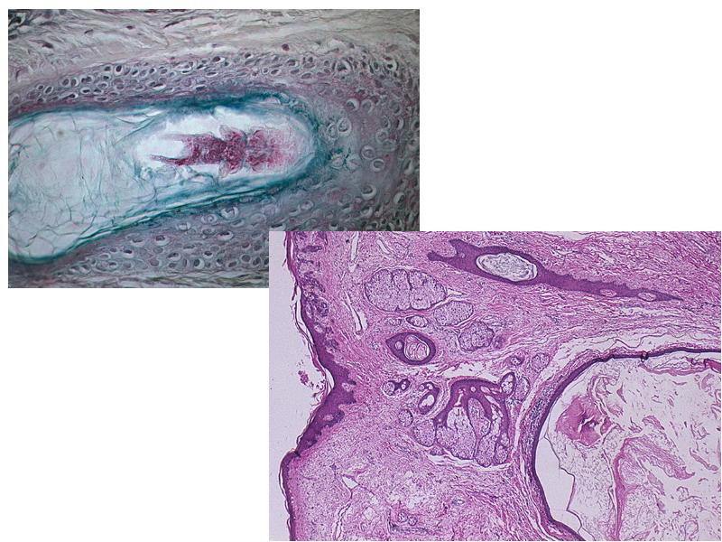
- 47. Безеу немесе акне (acne) – әртүрлі себептерден май бездерінің және шаш
- 48. Пайда болу себебі мен клиникалық көрінісіне байланысты: Кәдімгі (acne vulgaris), Келоидты
- 50. Гистологиялық зерттеу Кәдімгі безеу – гиперплазирленген май бездерінің маңайында және сонымен
- 52. Көпіршік (Пузырчатка) Қабынбаған тері мен шырышты қабатта көпіршікшелердің пайда болуы, акантолиз
- 53. Жіктелуі
- 54. Вульгарлы көпіршік
- 55. Акантолитикалық емес көпіршік
- 56. ГИСТОПАТОЛОГИЯ Көпіршіктің морфологиялық ерекшелігі акантолиз, яғни тікенекті қабаттың төменгі бөлігінде
- 57. Ірі, кернеулі көпіршіктермен көп немесе аз генерализденген бөртпелермен болатын тері ауруы.
- 59. Буллезді пемфигоидтың гистиопатологиясы Ерте бөртпелер эпидерма асты вакуольдердің пайда болуымен, кейін
- 61. Герпес тәрізді дерматит Герпес тәрізді дерматит – 1-ші не 2-ші типті
- 62. Жиі иммунитеті төмен адамдарды кездеседі. Бөртпелердің сипатына қарай герпес бөлінеді: Жиі
- 65. Ерте кездегі ошақтың биоптаты: дерманың емізікшелерінде нейтрофильдердің, эозонофильдердің жинақталауы және субэпидермалды
- 66. Скачать презентацию
































































Слайды и текст этой презентации
Скачать презентацию на тему Дәріс тақырыбы
Тері аурулары : Есекжем, Аллергиялық контактты дерматит, можно ниже:
Похожие презентации