Клинический случай заворота доли печени у собаки презентация
Содержание
- 2. Anamnesis vitae Собака: Немецкая овчарка Возраст: 10 лет Кличка:
- 3. Anamnesis morbus 26.06.19 с признаками острой боли собака поступила на прием
- 4. Anamnesis morbus
- 5. Биохимический анализ крови
- 6. Клинический анализ крови
- 7. перитонеальный Выпот
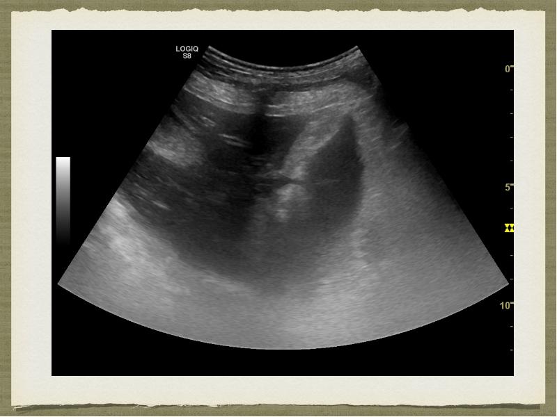
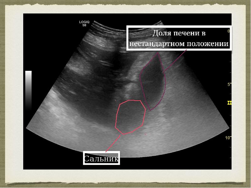
- 8. Ультразвуковое исследование Описание: …в области ворот печени справа доля печени (сосцевидная?
- 11. Компьютерная томография
- 23. статьи…
- 25. статьи…
- 26. Спасибо за внимание! Спасибо за внимание!
- 27. Скачать презентацию

























Слайды и текст этой презентации
Скачать презентацию на тему Клинический случай заворота доли печени у собаки можно ниже:
Похожие презентации