Опухоли слюнных желез презентация
Содержание
- 5. Классификация опухолей слюнных желез 1. Доброкачественные опухоли: а) эпителиальные:
- 6. Плеоморфная аденома Это доброкачественная опухоль наиболее распространенная, встречается в
- 7. Плеоморфная аденома растет безболезненно, медленно (в течение нескольких лет) и может
- 9. Диагностика Диагноз опухоли уточняют цитологическим исследованием пунктата, который получают в игле
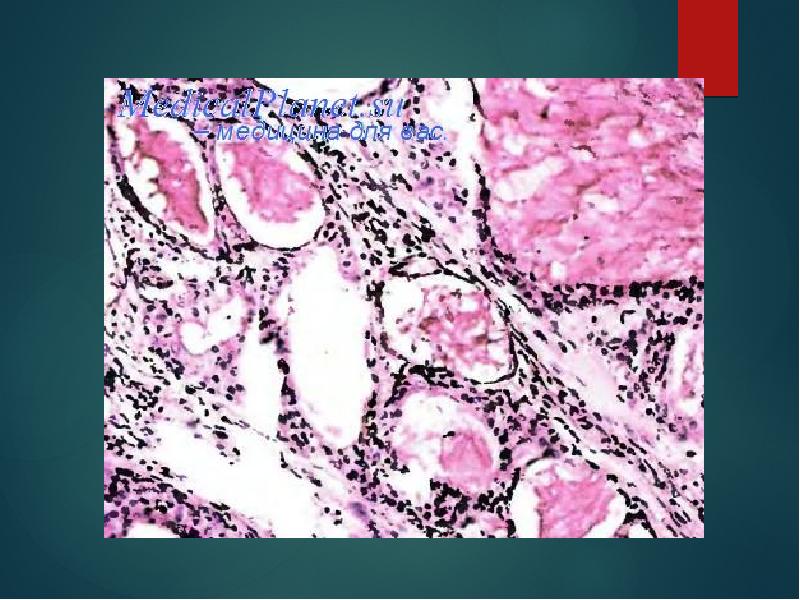
- 11. Микроскопически опухоль, кроме выраженной эпителиальной ткани, имеет в своем составе мезенхимоподобные
- 12. На сиалограммах опухоль проявляется в виде четко отграниченного дефекта наполнения ацинусов
- 14. Лечение Лечение хирургическое. При локализации опухоли в поднижнечелюстной и подъязычной
- 15. Аденолимфома Аденолимфома встречается в 4,5 % случаях По
- 16. Аденолимфома
- 17. Мукоэпидермоидный рак Для мукоэпидермоидного рака характерен местный инфильтративный рост.
- 18. Различают высокодифференцированный и низкодифференцированный варианты опухоли. Различают высокодифференцированный
- 19. Рис. Внешний вид больной с мукоэпидермоидной опухолью околоушной железы. Рис. Внешний
- 20. Макроскопически опухоль серо-белого цвета с мелкими полостями, заполненными слизью. Микроскопически она
- 22. Лечение Лечение зависит от варианта опухоли. При высокодифференцированной опухоли применяют оперативные
- 23. Аденокистозная карцинома. (цилиндрома) Локализуется чаще в околоушной железе и в
- 25. Диагностика Макроскопически опухоль на разрезе серого цвета, инкапсулирована. Роль капсулы
- 27. Лечение Лечение комбинированное — предоперационная лучевая терапия с последующим иссечением опухоли
- 28. Опухолеподобные поражения слюнных желез. Такие поражения проявляются в виде
- 29. Кисты слюнных желез Ретенционные кисты чаще наблюдаются на слизистой оболочке
- 30. Классификация по TNM: Тх - оценка первичной опухоли невозможна. Тis
- 31. Nx - состояние регионарных лимфатических узлов оценить невозможно. Nx - состояние
- 32. Принципы лечения: T1–2N0M0 Полное хирургическое удаление первичной опухоли + адъювантная ЛТ
- 33. Принципы ЛТ: Стадия Т4b или клинически определяемая остаточная опухоль: • Фотонная
- 34. Типичными операциями при опухолях околоушной слюнной железыявляются резекция околоушной слюнной железы,
- 35. Резекция околоушной слюнной железы Наиболее часто используют разрез кожи впереди ушной
- 38. Паротидэктомия Операция может считаться радикальной, если околоушную слюнную железу, пораженную
- 39. Спасибо за внимание!
- 40. Скачать презентацию






































Слайды и текст этой презентации
Похожие презентации