Патология челюстных костей презентация
Содержание
- 2. План лекции Опухоли челюстных костей Кисты челюстных костей Дисплазии челюстных костей
- 3. Опухоли челюстных костей Обычно одонтогенные опухоли (генез связан с зубообразующими тканями)
- 4. Клиническое значение Ведут к смещению и расшатыванию зубов Могут возникать в
- 5. Классификация Органоспецифические опухоли челюстных костей Связанные с одонтогенными эпителием Одонтогенные опухоли
- 6. Органоспецифические опухоли Их генез связан с зубообразующими тканями – эмалевым органом
- 7. Развитие зуба
- 9. Опухоли связанные с одонтогенным эпителием Амелобластома Аденоматоидная одонотогенная опухоль Кератокистома
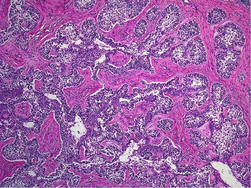
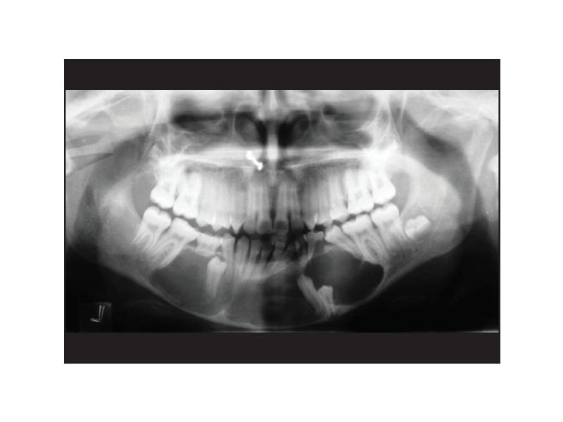
- 10. Амелобластома Доброкачественная опухоль с медленным, местнодеструирующим ростом В 80% тело нижней
- 11. Макроскопическая картина Пораженная челюсть веретенообразно утолщена ("вздутие"), при разрушении кортикальной пластинки
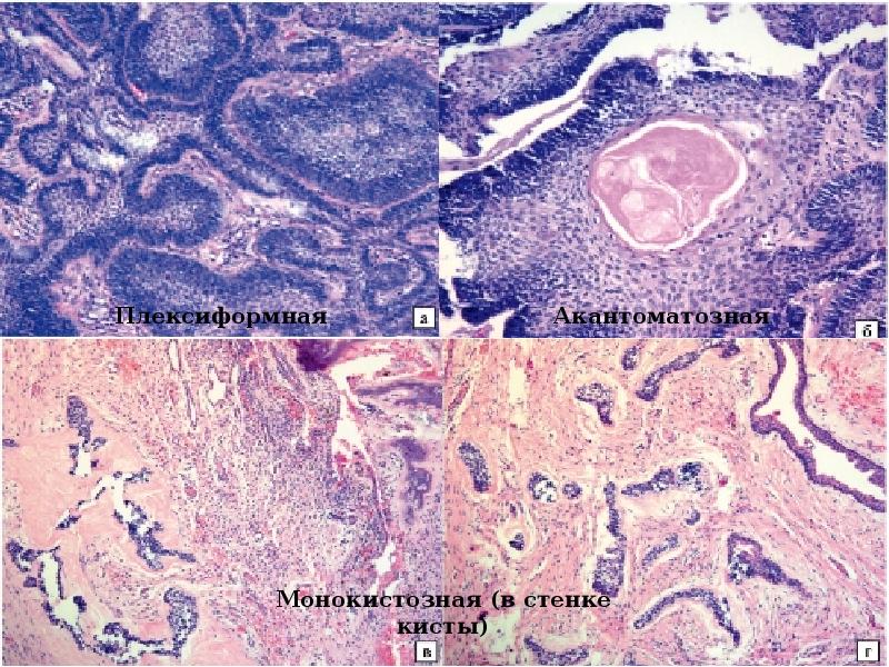
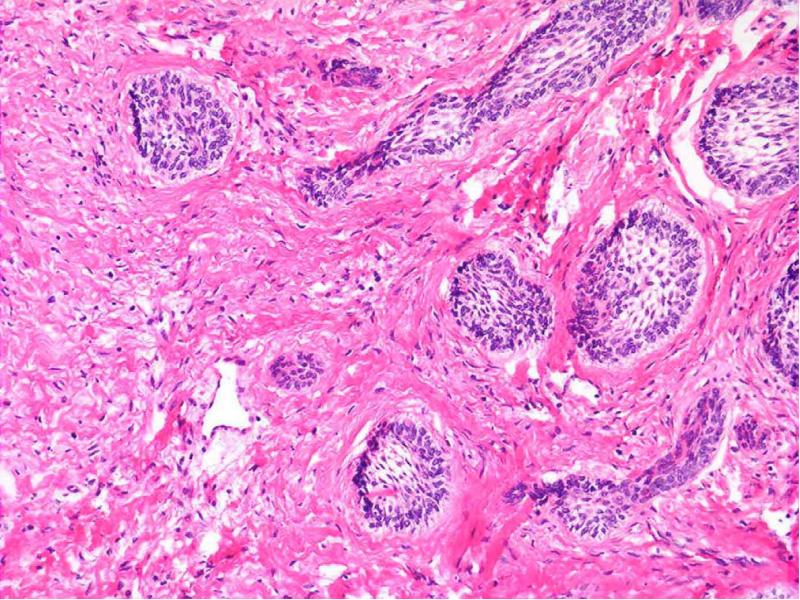
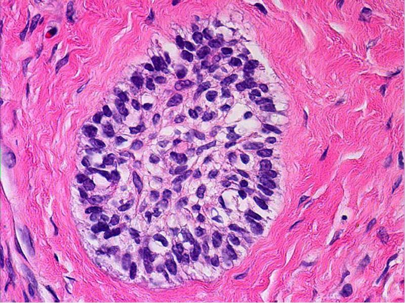
- 14. Микроскопическая картина Гистологически напоминает эмалевый орган Кистозная Фолликулярная Плексиформная Акантоматозная Базально-клеточная
- 16. Аденоматоидная одонтогенная опухоль Доброкачественная опухоль из одонтогенного эпителия со структурами амелобластомы
- 17. Макроскопическая картина Многокамерная киста с утолщенными стенками и редко превышает 3
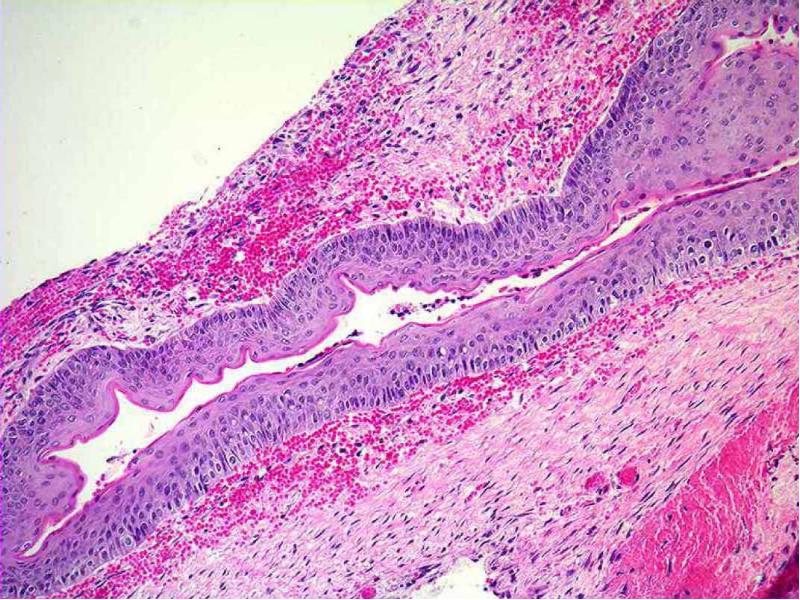
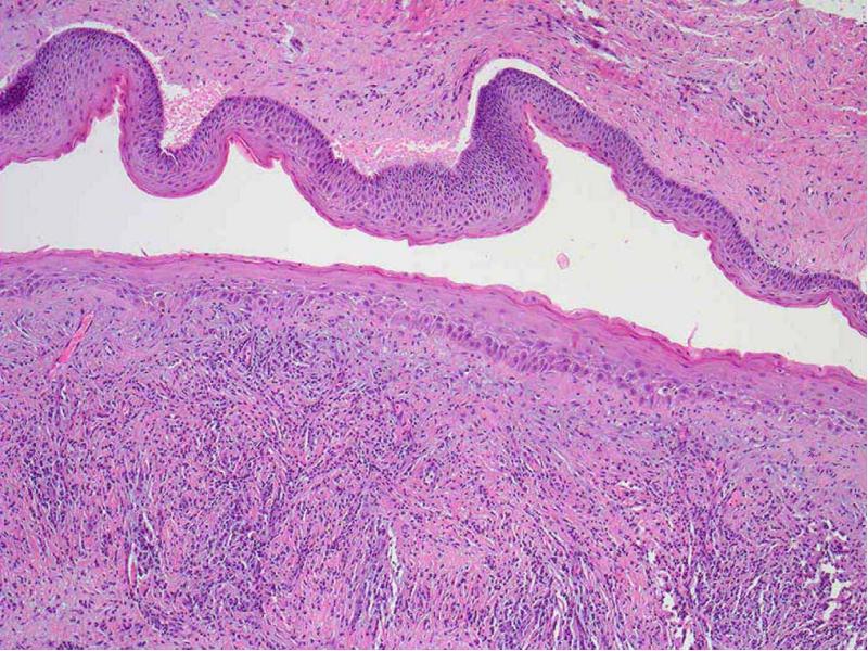
- 20. Кератокистома (примордиальная киста) Доброкачественная опухоль одонтогенного происхождения с потенциально агрессивным и
- 21. Макроскопическая картина Локализуется чаще всего в зоне формирующегося зачатка 3-го нижнего
- 23. Микроскопическая картина Имеет тонкую фиброзную стенку с выстилкой из многослойного плоского
- 26. Исходы При расширении периодонтальной щели может инфицироваться Поликистозная форма может рецидивировать
- 27. Опухоли смешанного генеза Одонтома Киста Горлина
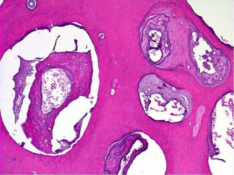
- 28. Одонтома Наиболее часто встречающаяся опухолевая мальформация (гамартома) челюстных костей. Обычно возникает
- 29. Классификация Простая одонтома представлена твердыми тканями одного зуба, соединенными в виде
- 31. Макроскопическая картина Инкапсулированный узел из нескольких зубоподобных элементов, легко разделяющихся или
- 33. Киста Горлина Кальцифицирующаяся одонтогенная кистома или киста Горлина выявляется во втором-третьем
- 35. Одонтогенная миксома Третья по частоте встречаемости среди одонтогенных опухолей (после одонтомы
- 37. Первичный внутрикостный рак Развивается из островков Малассе на фоне амелобластомы из
- 40. Кисты челюстных костей
- 41. Общие положения Истинная киста челюсти - полостное образование, имеющее фиброзную стенку
- 42. Одонтогенные кисты Радикулярная (околокорневая) киста Фолликулярная (зубосодержащая) киста Киста прорезывания
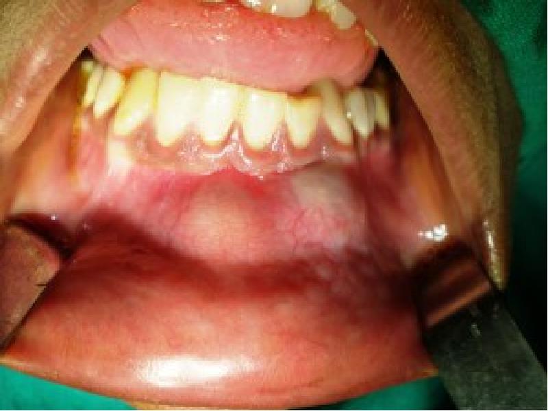
- 43. Радикулярная киста Образуется в альвеолярных отростках челюстных костей при прогрессировании хронического
- 45. Макроскопическая картина Увеличивается медленно (месяцы, а иногда годы), достигая размеров от
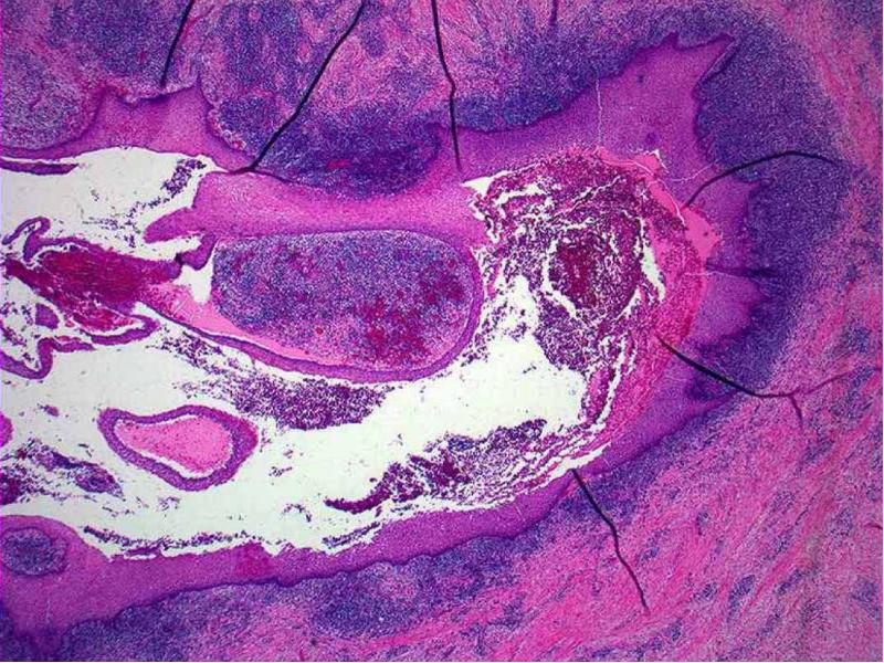
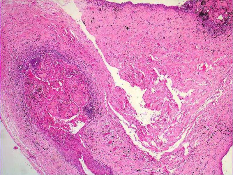
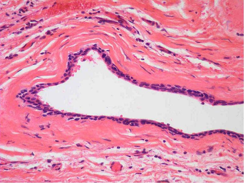
- 47. Микроскопическая картина Внутренняя поверхность выстлана неороговевающим сквамозным эпителием с участками грануляционной
- 49. Осложнения Выбухая в вестибулярную область имеет тенденцию к нагноению и образованию
- 50. Фолликулярная киста (зубосодержащая) Является дизонтогенетической кистой, развивается из эмалевого органа непрорезавшегося
- 52. Микроскопическая картина Тонкий неороговевающий сквамозный эпителий выстилает внутреннюю поверхность кисты
- 54. Киста прорезывания Разновидность фолликулярной кисты (фолликулярная киста, связанная с коронкой прорезывающегося
- 55. Неодонтогенные кисты
- 56. Киста носонебного (резцового канала) Верхняя челюсть, небо Белесоватое содержимое, выстилка многослойным
- 59. Десневая киста младенца (жемчужина Эпштейна) Одна или более кист в десне
- 61. Костные дисплазии
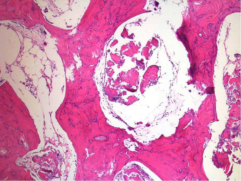
- 62. Фиброзная дисплазия Опухолеподобное заболевание моно- и полиоссальное. Поражаются кости черепа, бедренные,
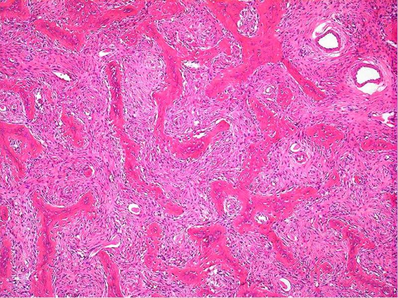
- 63. Макроскопическая картина Кость деформируется вследствие ее очагового увеличения («вздутия») Рентгенологически картина
- 66. Микроскопическая картина Разрастание клеточно-волокнистой остеогенной ткани, строящей примитивные костные балочки по
- 68. Исходы Поражение в подавляющем большинстве случаев доброкачественное, но изредка наблюдается переход
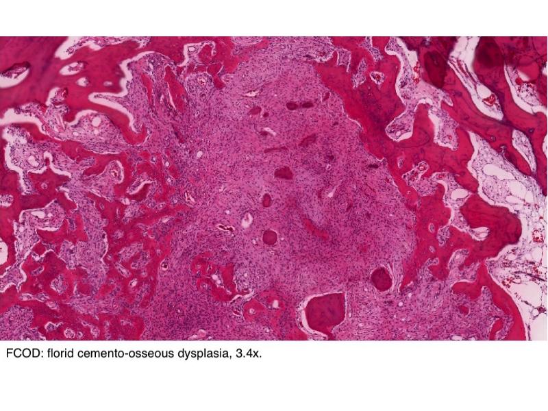
- 69. Костная дисплазия (периапикальная цементодисплазия) Встречается в области верхушек нижних резцов в
- 71. Формы/названия Периапикальная костная дисплазия – поражение возникает в передней части нижней
- 72. Гигантоморфная цементома Характеризуется мультицентричным ростом с образованием многочисленных узелков и узлов
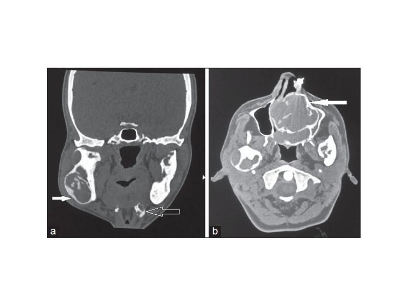
- 73. Исходы Периапикальная и очаговая костная дисплазия обычно являются случайными рентгенологическими находками.
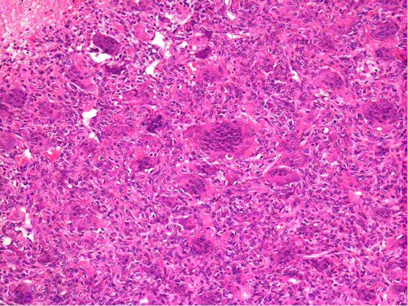
- 74. Центральная гигантоклеточная гранулема (остеокластома) До 30% всех опухолей челюстей и чаще
- 79. Исходы Различают агрессивные и неагрессивные гигантоклеточные гранулемы Агрессивные гранулемы, как правило,
- 80. Херувизм Редкое семейное заболевание (аутосомно-доминантный тип наследования), которое выявляется в раннем
- 82. Исходы Микроскопически не отличается от центрального гигантоклеточного поражения, особенно на ранних
- 83. Болезнь Педжета Деформирующая остеодистрофия Резорбция кости по типу мозаики Формы: монооссальная
- 86. Аневризмальная костная киста Расширенное остеолитическое поражение Возраст пациентов обычно до
- 88. Исходы Вероятно эта киста в дальнейшем будет отнесена к опухолям (стабильная
- 89. Посттравматическая костная киста Несмотря на название связи с травмой при образовании
- 91. Пороки развития
- 92. Пороки развития челюстных костей Расщелина верхней губы – хейлосхизис «заячья губа»
- 96. Пороки развития Хоботок, гипо-/гипертелоризм Агнатия/аплазия нижней челюсти, макростомия Синотия – сближение
- 99. Пороки развития зубов Аномалии числа, размеров, формы: адентия, микро-/макродентия Нарушение структуры
- 100. Спасибо за внимание!
- 101. Скачать презентацию



































































































Слайды и текст этой презентации
Похожие презентации