Первая помощь при травматических повреждениях презентация
Содержание
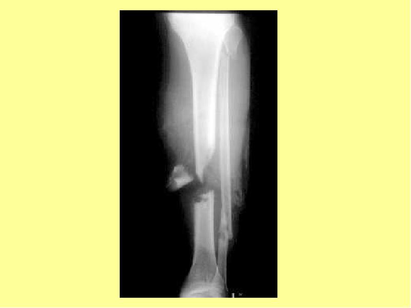
- 3. Виды травматических повреждений Ушиб Повреждение связок Повреждение сухожилий Травматические вывихи Переломы
- 4. Раной называется механическое повреждение, сопровождающееся нарушением целости кожного покрова или слизистых
- 16. Скальпированная рана
- 18. Первая помощь при кровотечениях
- 19. Виды кровотечения Артериальное Венозное Паренхиматозное Капиллярное
- 25. Правила наложения жгута Жгут накладывают при повреждении крупных артериальных сосудов При
- 26. Шок – это общая реакция организма на ранение или повреждение, характеризующаяся
- 39. Скачать презентацию





































Слайды и текст этой презентации
Скачать презентацию на тему Первая помощь
при травматических повреждениях можно ниже:
Похожие презентации