Семей мемлекеттік м едицина у ниверситеті Балалар жұқпалы аурулар және презентация
Содержание
- 2. Физикалды тексеру Тыныс алу кезінде зақымдалған аймақтың кеуде клеткасының артта қалуы;
- 3. Аускультация Аускультациялық тыңдау орынында фиброзданған және плевраның қалыңдаған аймағында әлсіз тыныс
- 4. Перкуссия Перкуссия симптомдардың нақты көрінісін береді: плераның қалыңдаған және массивті фиброз
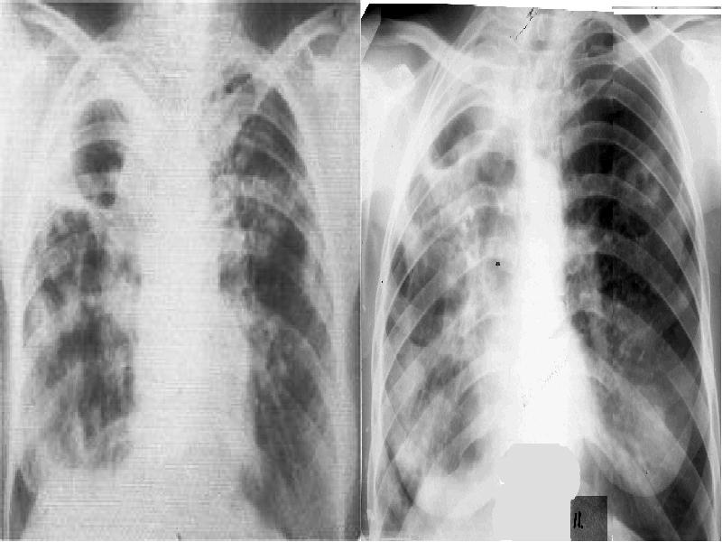
- 5. Рентгенология Рентгенограммада фиброзбен өкпенің семуі көрінеді, ескі фиброзды коверна (бір немесе
- 7. Рентгенологиялық көрінісі Жаңа пайда болған эластикалық каверналар көбіне өзгермеген өкпе тінінде
- 8. Туберкулинді диагностика Науқастарда туберкулинге сезімталдық түрлі: ремиссия кезінде оң болудан; өршу
- 9. Жалпы қан анализі Лейкоциттер саны көбейеді -12-20*109/л, таяқша ядролы нейтрофилдердің көбейеді,
- 10. Жалпы зәр анализі: Зәрде белок,аздаған лейкоцит,эритроцит анықталады.Қан түкіру және амилоидозбен асқынуы
- 11. Тыныс алу және қан айналу қызметін анықтау: Тыныс алу және
- 12. Бактериологиялық зерттеу Үнемі туберкулез бацилаларының бөлінуі, кейде массивті. Каралтәріздес эластикалық талшықтар.
- 13. Қақырықты зерттеу
- 14. Компьютерлі томография
- 15. Пайдаланылған әдебиет: Фтизиатрия - Перельман М.И. , Корякин В.А., Богадельникова И.В.
- 16. Скачать презентацию














Слайды и текст этой презентации
Скачать презентацию на тему Семей мемлекеттік м едицина у ниверситеті Балалар жұқпалы аурулар және можно ниже:
Похожие презентации