Синдром обширного просветления легочного поля презентация
Содержание
- 2. Синдром обширного просветления Синдром обширного просветления представляет собой повышение прозрачности
- 3. При внутрисиндромной дифференциации внутрилегочных патологических процессов следует прежде всего оценить их
- 4. Тотальное двустороннее просветление наиболее часто дают эмфизема легких и гиповолемия малого
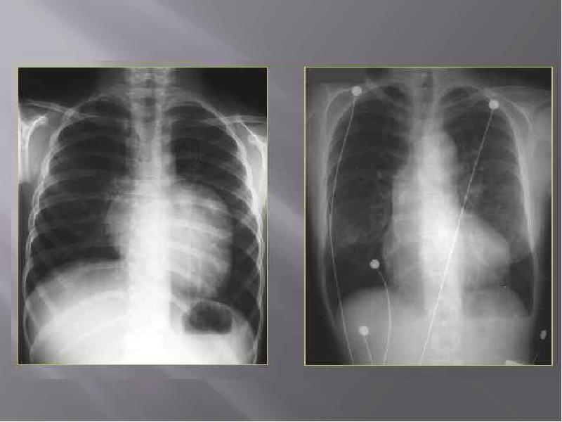
- 6. Тотальным односторонним просветлением чаще всего отображаются клапанное нарушение проходимости главного бронха,
- 9. Субтотальное одностороннее просветление наблюдается при клапанном нарушении проходимости долевого бронха в
- 11. Скачать презентацию









Слайды и текст этой презентации
Скачать презентацию на тему Синдром обширного просветления легочного поля можно ниже:
Похожие презентации