Параклинические методы исследования в неврологии и нейрохирургии презентация
Содержание
- 2. План лекции Показания к люмбальной пункции. Ликвор в норме и патологии
- 3. ЛЮМБАЛЬНАЯ ПУНКЦИЯ ПОКАЗАНИЯ ДИАГНОСТИКА ИНФЕКЦИОННЫХ, СОСУДИСТЫХ, ДЕМИЕЛИНИЗИРУЮЩИХ ЗАБОЛЕВАНИЙ ЦНС ТРАВМЫ ГОЛОВНОГО
- 5. ИССЛЕДОВАНИЯ ЛИКВОРА Ликворное давление лежа 100-180 мм водн.ст. (60-80 кап/мин) Вид
- 6. Нормальные возрастные показатели ликвора
- 7. Радиологические методы Рентгенография черепа (краниография) и позвоночника (спондилография); Компьютерная томография (КТ
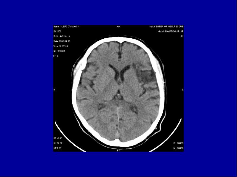
- 8. КОМПЬЮТЕРНАЯ ТОМОГРАФИЯ
- 9. Физические основы метода Метод КТ основан на оценке поглощающей способности тканей
- 11. Острая субдуральная гематома в правой лобно-теменно-височной области с дислокацией головного мозга
- 13. МАГНИТНО-РЕЗОНАНСНАЯ ТОМОГРАФИЯ МРТ использует феномен кратковременного резонирования протонов в электромагнитном
- 14. Заключение: МР-признаки спондилита, спондилоартроза поясничного отдела позвоночника. Множественные циркулярные грыжи дисков,
- 15. Заключение. МР-картина геморрагического инсульта левой височной доли мозга, субдуральная гематома в
- 16. ПРОТИВОПОКАЗАНИЯ К ПРОВЕДЕНИЮ МРТ Абсолютные Металлическое инородное тело в глазнице Гемопоэтическая
- 17. Ангиография (АГ) АГ головного мозга – инвазивный метод, представляющий собой серийную
- 18. Варианты АГ Каротидная Вертебральная Селективная Панангиография Контрастные вещества: омнипак, ультравист, уротраст,
- 19. КАРОТИДНАЯ АНГИОГРАФИЯ
- 20. Позитронная эмиссионная томография (ПЭТ) ПЭТ- метод, позволяющий помимо визуализации мозга,
- 22. ЭЛЕКТРОЭНЦЕФАЛОГРАФИЯ ЭЭГ - метод регистрации электрической активности (биопотенциалов) головного мозга через
- 24. © Фомичев С.И. 1995,1996
- 27. Электромиография Электромиография (ЭМГ) состоит в регистрации биологических потенциалов мышц с
- 28. Методы ЭМГ
- 29. Ультразвуковые методы Эхоэнцефалография (Эхо-ЭГ) Ультразвуковая доплерография сонных и позвоночных артерий (УЗДГ)
- 30. М-эхо смещено влево
- 31. Ультразвуковые методы у младенцев УЗИ исследование через незаращенный передний родничок.
- 32. УЗИ исследование Основано на эффекте Допплера (I.K. Doppler, 1842), который позволяет
- 33. БОЛЬНАЯ В. ГИПОПЛАЗИЯ ЛЕВОЙ ПОЗВОНОЧНОЙ АРТЕРИИ (дуплексное сканирование).
- 34. Скачать презентацию
































Слайды и текст этой презентации
Скачать презентацию на тему Параклинические методы исследования в неврологии и нейрохирургии можно ниже:
Похожие презентации