Poronienie.Poród przedwczesny. Niewydolność cieśniowo-szyjkowa. Połóg. Powikłania połogu. презентация
Содержание
- 2. Czas trwania ciąży
- 3. PORONIENIE Wydalenie z jamy macicy jaja płodowego przed ukończeniem 22 tygodnia
- 4. PORONIENIE Ryzyko maleje wraz z wiekiem ciążowym – 50% ciąż
- 5. PRZYCZYNY PORONIEŃ Genetyczne Hormonalne Anatomiczne Zakażenia Zaburzenia immunologiczne Toksyczne Zaburzenia metaboliczne
- 6. PRZYCZYNY GENETYCZNE Mogą powstać po zapłodnieniu lub zostać przekazane przez jednego
- 7. PRZYCZYNY ANATOMICZNE Wrodzone wady macicy Zrosty wewnątrzmaciczne Niewydolność szyjki macicy
- 8. Wrodzone wady macicy W ogólnej populacji 0,05-2%, u kobiet z kilkoma
- 9. Zrosty wewnątrzmaciczne Najczęściej spowodowane czynnikami jatrogennymi (łyżeczkowanie jamy macicy po porodzie
- 10. Mięśniaki macicy Podśluzówkowe mięśniaki – zniekształcenie jamy macicy, zaburzenia funkcji endometrium
- 12. PRZYCZYNY HORMONALNE Niewydolność fazy lutealnej Dgn: biopsja endometrium, stężenie progesteronu w
- 13. ZAKAŻENIA Mycoplasma hominis Uroplasma urealyticum Chylamydia trachomatis Infekcje wirusowe (HSV
- 14. PRZYCZYNY IMMUNOLOGICZNE Choroby autoimmunologiczne Zespół antyfosfolipidowy Przeciwciała antyfosfolipidowe: antykoagulant toczniowy, przeciwciała
- 15. CZYNNIKI TOKSYCZNE Alkohol Palenie tytoniu Czynniki chemiczne (środowisko pracy) (również gazy
- 16. ZABURZENIA METABOLICZNE Każde schorzenie przewlekłe może być przyczyną poronienia. Choroby
- 17. MECHANIZM PORONIENIA Zależy od wielkości jaja płodowego < 8 tygodnia –
- 18. ROZPOZNANIE Wywiad - ostatnia miesiączka / długość cyklu -
- 19. W zależności od stopnia nasilenia objawów rozróżniamy: Poronienie zagrażające (abortus imminens)
- 20. Poronienie zagrażające (abortus imminens) Bezbolesne krwawienie z macicy Czasem skurcze
- 21. Poronienie zagrażające -postępowanie Oszczędzający tryb życia Unikanie współżycia Leki rozkurczowe Progesteron
- 22. Poronienie w toku (abortus in tractu) Obfite krwawienie Bolesne skurcze macicy
- 23. Poronienie zatrzymane (missed abortion) Brak wydalenia obumarłego płodu w przewidzianym czasie
- 24. Poronienie zupełne (abortus completus) Występuje rzadko Całkowite wydalenie jaja płodowego Szybkie
- 25. Poronienie niezupełne (abortus incompletus) Niecałkowite wydalenie elementów jaja płodowego Krwawienie
- 26. Postępowanie: Wyłyżeczkowanie jamy macicy Pacjentkom z grupą krwi Rh (-) minus
- 27. PORÓD PRZEDWCZESNY (Partus praematurus) Urodzenie noworodka po ukończeniu 22
- 28. ETIOPATOGENEZA Wieloczynnikowa i nie do końca poznana Główne patomechanizmy: Stres i
- 29. Etiopatogeneza- czynniki medyczne Przyczyny położniczo-ginekologiczne Krwawienia z macicy Ciąża bliźniacza Łożysko
- 30. Etiopatogeneza- czynniki medyczne Wywiad położniczy: Przebyte porody przedwczesne Martwe urodzenia Przebyte
- 31. Etiopatogeneza - Czynniki socjalne niski poziom socjalno-ekonomiczny wiek poniżej 18 lat
- 32. Rozpoznanie Wiek ciążowy: 22-37 tygodni ciąży Udokumentowana czynność skurczowa macicy (≥
- 33. Poród przedwczesny- postępowanie Reżim łóżkowy Hamowanie czynności skurczowej (tokoliza) Stymulacja dojrzewania
- 34. Tokolityki – hamowanie czynności skurczowej b-Mimetyki (fenoterol, rytodryna) Antagoniści wapnia (siarczan
- 35. Przeciwskazania do tokolizy Bezwzględne Ciąża obumarła Zakażenie wewnątrzmaciczne Wady letalne płodu
- 36. Tokolityki Siarczan magnezu – preferowany w ciąży powikłanej cukrzycą, chorobami serca,
- 37. Tokolityki β-Mimetyki Przeciwskazania: Nadczynność tarczycy Zaburzenia rytmu serca przebigające z tachykardią
- 38. Sposób ukończenia ciąży Poród siłami natury – zwiększone ryzyko dla podatnego
- 39. Sposób ukończenia ciąży Po 32 tyg. ciąży przy położeniu główkowym –
- 40. Intensywna opieka neonatologiczna Należy dążyć by porody przedwczesne <32 tygodnia ciąży
- 41. Niewydolność cieśniowo-szyjkowa Niezdolność szyjki macicy do utrzymania ciąży do terminu porodu
- 42. Niewydolność cieśniowo-szyjkowa Częstośc występowania: Dotyczy ok. 1,5 % wszystkich ciąż Jest
- 43. Niewydolność cieśniowo-szyjkowa: Etiologia Urazy mechaniczne: - poród dużego płodu
- 44. Niewydolność cieśniowo-szyjkowa Rozpoznanie Wywiad (straty ciąży między 16 a 33 tyg)
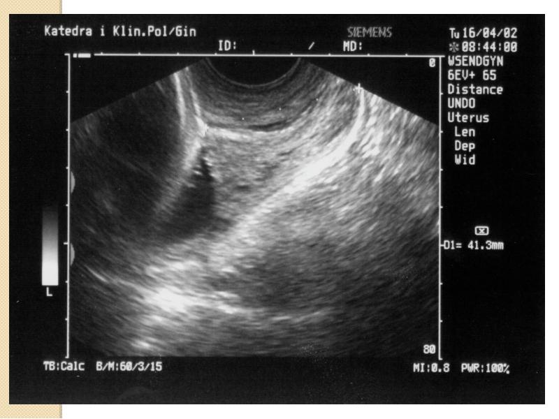
- 45. Niewydolność cieśniowo-szyjkowa Badanie USG Średnia długość szyjki macicy 38-42mm Długość
- 46. Niewydolność cieśniowo-szyjkowa Badanie USG przez powłoki brzuszne: wymaga wypełnienia pęcherza moczowego.
- 47. Niewydolność cieśniowo-szyjkowa Badanie przezpochwowe: pęcherz moczowy musi być opróżniony. należy zidentyfikować
- 51. Niewydolność cieśniowo-szyjkowa Postępowanie Oszczedzający tryb życia Leki tokolityczne Szew szyjkowy
- 52. Niewydolność cieśniowo-szyjkowa Szew szyjkowy Czas założenia 14-18 tydz. ciaży Ryzyko: Infekcji
- 54. Połóg (Puerperium) Trwający 6 tygodni okres czasu po porodzie, podczas którego
- 55. Połóg – Opieka medyczna Kontrola tętna, ciśnienia tętniczego, temperatury Wysokość dna
- 56. Połóg- Wysokość dna macicy Po porodzie - S/P
- 57. POŁÓG Odchody połogowe (Lochia) 1 – 6 doba - lochia
- 58. POŁÓG - Powikłania Powikłania występujące w pierwszych 2 h po zakończeniu
- 59. POŁÓG - Powikłania Powikłania występujące w późniejszym okresie połogu
- 60. POWIKŁANIA POŁOGU Krwotok WCZESNY< 24h: Atonia (niedowład macicy) Krwawienia z ran
- 61. POWIKŁANIA Zakażenia połogowe Zakażenia miejscowe: ran krocza i pochwy, rany
- 62. POWIKŁANIA POŁOGU Zapalenie błony śluzowej jamy macicy OBJAWY (zwykle 3-4 dzień
- 63. POWIKŁANIA POŁOGU Zapalenie błony śluzowej jamy macicy POSTĘPOWANIE: Antybiotykoterapia (początkowo empiryczna
- 64. POWIKŁANIA POŁOGU Zapalenie gruczołu sutkowego Objawy: ból i zgrubienia piersi gorączka
- 65. POWIKŁANIA POŁOGU Ropień sutka Objawy: ból, zaczerwienienie goraczka naciek objaw chełbotania
- 66. POWIKŁANIA POŁOGU Żylna choroba zakrzepowo-zatorowa CZYNNIKI RYZYKA: Żylaki kończyn dolnych i
- 67. POWIKŁANIA POŁOGU Żylna choroba zakrzepowo-zatorowa Zapalenie zakrzepowe żył powierzchownych Najczęstsze powikłąnie
- 68. POWIKŁANIA POŁOGU Żylna choroba zakrzepowo-zatorowa Leczenie: Unieruchomienie i elewacja chorej kończyny
- 69. POWIKŁANIA POŁOGU Rozejście się spojenia łonowego OBJAWY: ból w okolicy spojenia
- 70. POWIKŁANIA POŁOGU Zaburzenia psychiczne Apatia poporodowa Depresja poporodowa Psychoza połogowa
- 72. Скачать презентацию






































































Слайды и текст этой презентации
Скачать презентацию на тему Poronienie.Poród przedwczesny. Niewydolność cieśniowo-szyjkowa. Połóg. Powikłania połogu. можно ниже:
Похожие презентации