Көпіршікті дерматоздар: Ұшық тәрізді Дюринг дерматозы презентация
Содержание
- 2. Кіріспе Кіріспе Негізгі бөлім: анықтамасы патогенезі клиникалық көріністері диагностикасы емі
- 3. Ұшық тәріздес Дюринг дерматозы дегеніміз – Ұшық тәріздес Дюринг дерматозы
- 4. Ағзаның глютенге (дәндер ақуызына) сезімталдығы маңызды орын алады. Қоздырушы фактор болып
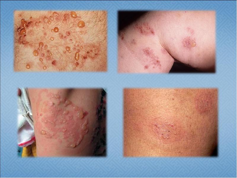
- 5. Ұшық тәрізді Дюринг дерматозының белгілері: көпіршіктер, қызыл дақтар. Ұшық тәрізді
- 6. Ұшық тәрізді Дюринг дерматозының жиі локализациясы: Ұшық тәрізді Дюринг дерматозының
- 7. Ауру жедел полиморфты бөртпелердің шығуынан басталады. Бөртпенің топтаса орналасуы ұшыққа ұқсас
- 9. Қан құрамында және көпіршіктер сұйықтығындағы эозинофилдер саны өте жоғарылағаны байқалады.
- 10. дапсон — 100 мг тәулігіне 2 рет 5 күн бойы, 1—2-
- 11. Дифференциальная диагностика кожных болезней, Б.А. Беренбейна и А.А.Студницина, с. 251 и др., М., Дифференциальная диагностика кожных болезней, Б.А. Беренбейна и А.А.Студницина, с. 251 и др., М., 1989; Иммунные и общие инфекционные заболевания в дерматологии, подред. В.И. Самцова, с. 15, Л., 1984; Самцов В.И. и Подвысоцкая И.И. Новое в диагностике и терапиибуллезных дерматозов, Вести, дерм. и вен., № 1, с. 36, 1982; Шапошников О.К. и др. Ошибки вдерматологии, с. 11, Л., 1987.
- 12. Скачать презентацию










Слайды и текст этой презентации
Скачать презентацию на тему Көпіршікті дерматоздар: Ұшық тәрізді Дюринг дерматозы можно ниже:
Похожие презентации